ПРОТЕЗИРОВАНИЕ ЗУБОВ В САМАРЕ

ВИДЫ ПРОТЕЗИРОВАНИЯ

Современные методы протезирования позволяют восстановить различное количество зубов, в том числе при адентии или полном отсутствии зубов (беззубой челюсти). Стоматологи "Сделай Зубы" подбирают лучшее индивидуальное решение, чтобы вернуть вашим зубам не только эстетику, но и функциональность. Подбор вида и метода протезирования осуществляет опытный врач-ортопед на основе клинического случая и возможностей пациента.

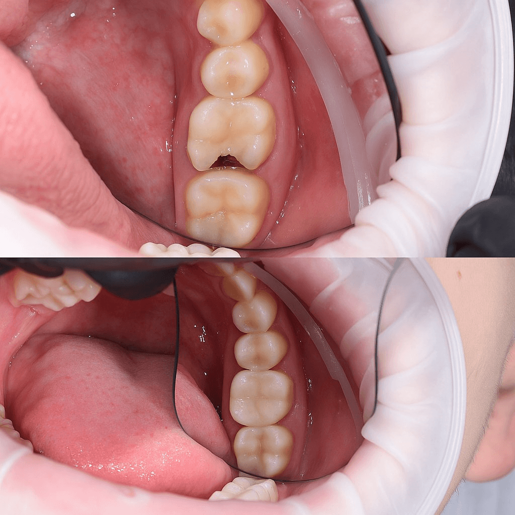
КОРОНКА НА ЗУБЕ

На данном изображении запечатлена работа врача-ортопеда стоматологии «Сделай Зубы» — установка зубной коронки. Эта важная процедура позволяет восстановить как функциональность, так и эстетику зуба, обеспечивая надёжную защиту и долговечность повреждённым тканям. Если у вас возникли вопросы относительно установки коронок или других стоматологических услуг, наши специалисты с радостью на них ответят!

КОРОНКА НА ЗУБЕ

32 14028 900
Рассрочка %

Этот метод предполагает создание специальной коронки, которая защитит сильно разрушенный зуб от внешнего воздействия и дальнейшего разрушения. Коронка устанавливается на сохранившийся корень зуба. Если состояние корня зуба неудовлетворительное, врач предложит установить коронку на искусственный корень или имплантат.

По желанию пациента и рекомендации врача коронка изготавливается из металлокерамики, керамики или диоксида циркония. На консультации доктор расскажет о особенностях каждого материала.

Преимущества

  • Высокая прочность и приживаемость
  • Способность выдерживать значительные жевательные нагрузки
  • Качественная стабильная фиксация
  • Вариации по цене в зависимости от материала

Особенности

  • Практика показывает, что пациенты быстро привыкают к новым зубам, удается стопроцентно восстановить как эстетику, так и функциональность. Но при этом коронки требуют замены каждые 5–10 лет, для их размещения придется выполнить обточку соседних единиц.
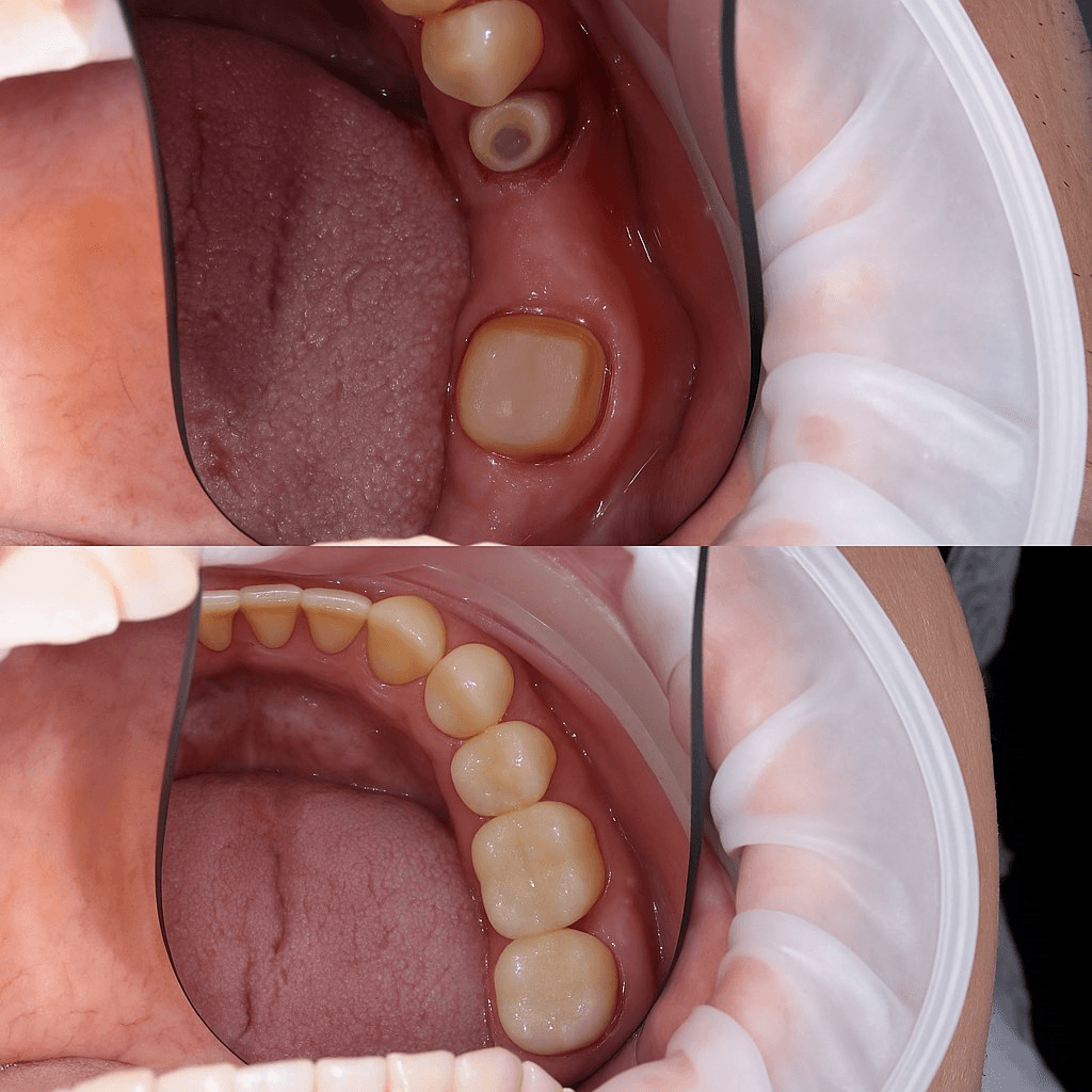
ПРОТЕЗИРОВАНИЕ НА ИМПЛАНТАТАХ

Полностью разрушенный или отсутствующий зуб можно восстановить с помощью искусственной зубной коронки, установленной на имплантат — дентальный корень из титанового сплава.

ПРОТЕЗИРОВАНИЕ НА ИМПЛАНТАТАХ

от 39 000
Установка импланта рассчитывается отдельно

Когда корень естественного зуба разрушен или зуб (или зубы) полностью проводится протезирование на имплантах или процесс установки зубной коронки с опорой на имплантат.

Стоматология Сделай Зубы работает со швейцарскими и корейскими имплантатами — одними из лучших в мире, а для протезирования использует биосовместимые материалы, обладающие уникальными эстетическими свойствами и высокой прочностью.

Протезирование на имплантах дает наиболее долговечный результат, так как установленные конструкции не приходится менять в связи с рассасыванием костной ткани и связанным с этим проседанием десен. Это повышает стоимость протезирования и увеличивает ее сроки. Однако у этого варианта есть и свои плюсы.

Преимущества

  • Эффективное восстановление передних и жевательных зубов
  • Материал гипоаллергенный, организм к нему быстро привыкает
  • Высокая прочность и способность выдерживать любые жевательные нагрузки
  • Внешний вид очень приятный и естественный

Особенности

  • Крепление зубного протеза на имплантат отличается высоким уровнем надежности. При этом он смотрится максимально естественно – его крайне сложно заметить со стороны. Внешне такой зуб ничем не отличим от настоящего.
МОСТОВИДНОЕ ПРОТЕЗИРОВАНИЕ

На данном изображении демонстрируется работа ортопеда «Сделай Зубы»: установка мостовидного протеза. Восстанавливаем красоту и функцию вашей улыбки!

МОСТОВИДНОЕ ПРОТЕЗИРОВАНИЕ

от 42 300
Металлокерамика Циркон

Эта методика предполагает применение специальной несъемной ортопедической конструкции. В нее входит от трех до шести коронок, которые соединяются в ряд.

Решение об установке такой конструкции принимается в том случае, если у человека нет сразу нескольких зубов. При этом в качестве опоры могут использоваться как собственные зубы пациента, так и импланты.

Преимущества

  • Высокая степень эффективности восстановления жевательной функции
  • Полностью безопасный для организма материал
  • Повышенный уровень прочности даже под действием значительных нагрузок
  • Естественность внешнего вида

Особенности

  • Стоит помнить о том, что сроки использования подобной конструкции составляют от 10 до 15 лет. Периода привыкания практически нет, что также является важным плюсом технологии.
ВИНИРЫ

На изображении показана работа врача-ортопеда стоматологии «Сделай Зубы» — установка керамических виниров. Эта эстетическая процедура позволяет создать идеальную улыбку, исправив цвет, форму и положение зубов. Результат — естественная красота и долговечность.

ВИНИРЫ

31 00027 000

Виниры используют, чтобы сделать улыбку эстетичнее, когда не устраивает форма, цвет или расположение зубов. Винирами называют специальные накладки, которые создаются из прочных, эстетичных материалов, которые одеваются на зубы и замещают внешний слой. Хорошо подобранные виниры смотрятся максимально естественно во рту у человека. Как правило, используются в зоне улыбки для скрытия эстетических дефектов: пятен, желтизны, трещин, сколов, неровностей зубов.

Преимущества

  • Оперативная эстетическая коррекции улыбки
  • Смотрятся естественно и натурально
  • Идеальная улыбка в любом возрасте

Особенности

  • Изготавливаются из прочных материалов – керамики E-max, диоксида циркония и др.
  • Виниры не нужно беречь от нагрузки – их сложно повредить под воздействием температуры или механическим давлением.
  • Стоит отметить, что использование виниров помогает скрыть не только косметические недостатки, но и восстанавливает функциональную составляющую.
ПРОТЕЗИРОВАНИЕ ALL-ON-4 / ALL-ON-6

На рисунке показан результат протезирования по современному протоколу All-on-4 / All-on-6 в стоматологии «Сделай Зубы». Это революционное решение для полного восстановления зубов, которое дарит пациентам новую улыбку и возможность наслаждаться жизнью без ограничений всего за один визит.

ПРОТЕЗИРОВАНИЕ ALL-ON-4 / ALL-ON-6

от 194 700
Индивидуальная стоимость

Данный метод тотальной реставрации зубного ряда помогает полностью восстановить разрушенный зубной ряд или при полной адентии (отсутствии зубов на челюсти). Позволяет полностью вернуть нормальную эстетику и функциональность всей челюсти. Зубной протез с коронками крепится на четыре (по методу All-on-4) или шесть (по технологии All-on-6) имплантов в зависимости от клинической ситуации.

Преимущества

  • Возможность сразу после процедуры вернуться к полноценной жизни
  • Быстрое заживление и приживаемость на уровне 98%
  • Возможность восстановить полностью беззубую челюсть
  • Безопасные для организма, гипоаллергенные материалы
  • Высокая прочность и способность выдерживать любые жевательные нагрузки

Особенности

  • Технология тотальной реставрации зубного ряда по методу All-on-4 или All-on-6 позволяет в короткие сроки восстановить разрушенные или утраченные зубы.
Читайте также: как подготовиться к протезированию зубов

Этапы процедуры

Восстановление зуба с помощью коронки возможно на собственном корне зуба или на импланте.

Для проведения качественного протезирования зубов потребуется несколько посещений стоматолога-ортопеда.

Использование современных технологий позволяет нашим врачам создавать искусственные зубы, не отличимые от естественных.

01

КОНСУЛЬТАЦИЯ

Работа начинается с консультирования. Врач внимательно осматривает полость рта, оценивает ее состояние и принимает решение о том, какой метод протезирования в конкретном случае будет наиболее комфортным, оптимальным по стоимости и другим важным параметрам. Также оценивается необходимость проведения предварительного лечения. Выдается назначение для проведения компьютерной диагностики – с ее помощью уточняются особенности строения зубочелюстной системы, делаются выводы об имеющемся объеме костной ткани, выявляются скрытые патологии (гранулемы, кисты и др.).

По итогам консультации и диагностики врач составит итоговый план лечения, в котором будут учитываться данные клинического случая и пожелания пациента.

02

ПОДГОТОВКА

Правильная подготовка к установке выбранной ортопедической конструкции имеет критическое значение для всего процесса протезирования. Важно произвести ряд процедур до момента установки зубного протеза: лечение кариеса, профессиональную гигиену полости рта, удаление зубов, если это требуется для установки зубного протеза.

03

ИЗГОТОВЛЕНИЕ ПРОТЕЗА

На данном этапе врач стоматолог-ортопед снимает индивидуальные слепки и создает модель будущего зубного протеза (съемного или несъемного). Зубной протез призван полностью восстановить зубы как в функциональном, так и в эстетическом плане, а значит внешне не должен отличаться от «родных» зубов. Именно поэтому материалы, используемые при создании ортопедических конструкций, отличаются высоким уровнем прочности и эстетики. Правильно подобранная коронка не выделяется в зубном ряду визуально, а определить ее наличие сможет только врач.

04

ПРИМЕРКА И КОРРЕКТИРОВКА

Четвертый этап протезирования включает в себя непосредственное производство ортопедических конструкций с нужными характеристиками. После чего происходит «примерка» – стоматолог устанавливает протез в полости рта, и пациент оценивает, насколько его размещение удобно и нет ли ощущения инородности. Также врач дает подробные рекомендации относительно того, какие методы ухода нужно использовать при ношении протеза.

Если примерка проходит хорошо, протез окончательно фиксируют, а пациенту дают рекомендации по уходу за ортопедическими конструкциями.

05

ПРОФИЛАКТИЧЕСКИЕ ОСМОТРЫ

Профосмотры после протезирования важно проводить регулярно, не менее одного раза в полгода. Врач оценивает состояние полости рта и самого установленного пациенту протеза. В соответствии с индивидуальными особенностями организма человеку может быть назначен другой график посещения врача.

warning_icon

На этой странице приведены цены на основные направления. Этапы лечения и итоговая стоимость определяются врачом для клинического случая сразу после. Для расчета стоимости запишитесь на консультацию. Всегда рады вам помочь!

Убайдуллаев Фазлиддин Мансурхонович

Врач-стоматолог-ортопед

Убайдуллаев Фазлиддин Мансурхонович

опыт работы 4 года

Частые вопросы

все вопросы

Отбеливание зубов – это вредно?

Сколько зубов можно вылечить за один прием?

Нет зуба. Какой искусственный зуб выбрать и с чего начать?

Сколько времени занимает процедура имплантации зубов?

Какие бывают противопоказания к имплантации зубов?

Какую зубную щетку и пасту выбрать?

Можно ли ходить к стоматологу во время беременности?

Сколько заживает десна после удаления зуба мудрости?

До какого возраста устанавливают брекеты?

Можно ли носить брекеты при беременности?

Можно ли продолжить лечение на брекетах в вашей клинике, если брекеты уже стоят?